Calle Ponce #40, Amigos Plaza, 2do Nivel, Mod.7B, RD


ENDODONCIA (TRATAMIENTO DE CANAL)

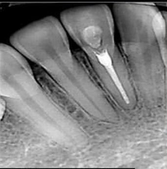
La Endodoncia o Tratamiento de Canal es el mejor procedimiento que puede realizarse en una clínica dental, ya que tiene como finalidad preservar las piezas dentales dañadas, causadas por lesiones inflamatorias en el interior del diente o pulpa dental, evitando así su pérdida. Para ello, se extrae la pulpa dental  (se encuentra en el interior del diente y contiene vasos sanguíneos, nervios y tejido conectivo). y la cavidad resultante, se rellena y sella con material totalmente biocompatible con los tejidos del diente.

 

Contactános Directo

+

Has tú Cita, Online con



Contactános Directo

+

Crear Citas

Siéntete Libre en Seleccionar al Especialista

Dentística en Santiago de los Caballeros, tienen precios Asequibles en todos sus servicios. Con Diferentes promociones y descuentos cómo también sin seguros para los pacientes. Residentes dentro de República Dominicana y fuera Contactános

Es impredecible ya que el especialista envía a realizar estudio de hueso para la colocación de implante.

debe durar 24 horas en reposo para evitar posible sangrado.

No, es un procedimiento no invasivo bajo anestesia local, con una duración de 30 min.


AFILIADOS

ARS & COOPERATIVA

© All Rights Reserved. Designed by TuWebRD