Calle Ponce #40, Amigos Plaza, 2do Nivel, Mod.7B, RD


REHABILITACIÓN ORAL

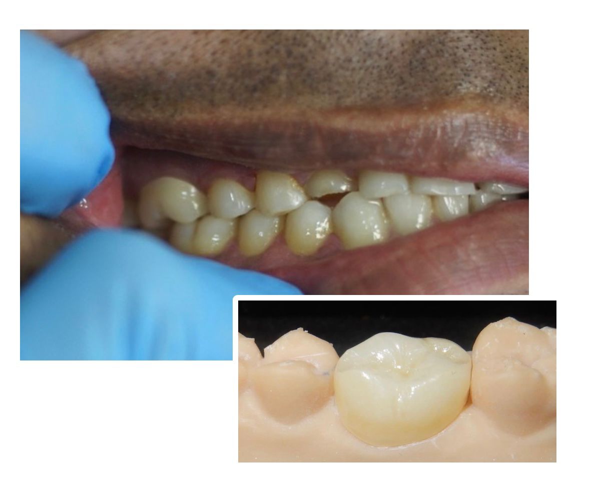
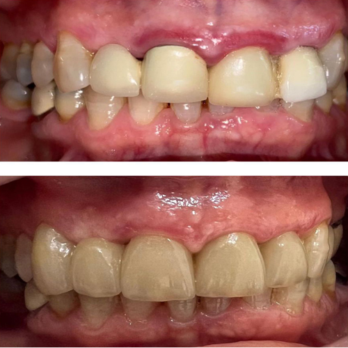
La Rehabilitación  Oral es una especialidad de la odontología, que se encarga de devolver la función estética y armonía oral mediante prótesis fijas, removibles, oclusión e implantes dentales. Nuestros especialistas te ofrecen presupuestos online y presencial. Estamos ubicados en Santiago de los caballeros, República Dominicana. 

Contactános Directo

+

Has tú Cita, Online con



Contactános Directo

+

Crear Citas

Siéntete Libre en Seleccionar al Especialista

Dentística en Santiago de los Caballeros, tienen precios Asequibles en todos sus servicios. Con Diferentes promociones y descuentos cómo también sin seguros para los pacientes. Residentes dentro de República Dominicana y fuera Contactános

Es impredecible ya que el especialista envía a realizar estudio de hueso para la colocación de implante.

debe durar 24 horas en reposo para evitar posible sangrado.

No, es un procedimiento no invasivo bajo anestesia local, con una duración de 30 min.


AFILIADOS

ARS & COOPERATIVA

© All Rights Reserved. Designed by TuWebRD